为了解本校医学生面部螨虫感染率及相关因素,以提高医学生对螨虫的认识,使学生养成良好的卫生习惯。医学检验技术专业100名学生于2023年5月23-24日开展“没螨睡眠,没螨人生”第二届实践活动。方法:采用透明胶纸粘贴法对在校240名医学生进行面部螨虫感染显微镜下筛查,同时进行相应问卷调查了解学生的卫生习惯、居住环境、皮肤疾患、饮食行为习惯等。
 
 
 
 
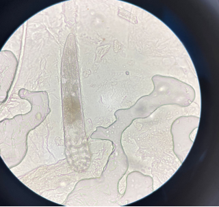
 结果:240名医学生中26人检出螨虫,感染率10.84%。毛囊蠕形螨感染率明显高于皮脂蠕形螨,通过问卷调查统计发现有面部皮肤疾病者蠕形螨感染率明显高于面部皮肤正常者。面部皮肤状态、皮肤性质及卫生习惯对感染率均有一定的影响,蠕形螨感染在人群中较为普遍。通过对比第一届检出率(23.7%)有所降低,说明该活动对学生提高除螨意识起到较好的宣传作用。
  
  
  
  
 


 
 整个过程学生全权参与:问卷调查→标本采集→接收标本与处理→检验→报告审核与发送→标本后处理,整个流程均严格按相应标准进行,贯穿整个核心课程的检验前、检验中、检验后的相关知识与注意事项。本次实践活动既锻炼了沟通和表达能力,同时将生物安全意识、健康意识、劳动教育、协作精神等教育融入其中,对培养学生具有良好的职业道德、实事求是的科学态度和严谨认真的工作作风具有重要意义。
 图:张丽,罗思颖,卢王敏
 文:章艳碧