口腔护理专业开展常规教研室活动
为进一步提高口腔护理专业教师实践能力,夯实口腔专科护理操作流程,进一步做好医护配合工作。2023年12月13日下午口腔护理教研室在综合实训中心403开展临时冠制作教研室活动,本次活动由程丽何老师组织开展。
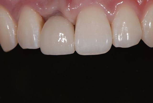
临时冠是固定修复的牙体预备后至最终固定修复体完成前患者不能自由取戴的临时性修复体,包括临时冠、临时桥、临时贴面及临时嵌体等,作用为活髓牙在牙体预备后,暂时隔离口腔环境对牙髓对刺激,同时维持咬合状态,保持预备间隙,防止邻牙移位及对颌牙伸长,以及恢复咀嚼功能和美观效果。


活动中,程丽何老师从临时冠制作前的用物准备、牙列模型、牙位形态的分析、自凝义齿基托树脂调和六个时期的变化、面团期塑型的方法以临时冠打磨的方法与步骤展开讲解和演示;同时,教研室各位老师根据操作方法和步骤进行临时冠制作的练习。操作完毕,大家共同探讨了在本次活动中塑型与打磨的技巧以及操作过程中的注意事项。


“教而不研则浅,研而不教则空”。本次教研活动的开展为口腔护理专业任课教师提高了口腔专科护理实践能力,同时对临时冠制作的方法与流程有了更加深入的了解。
图文:程丽何
校对:杨耀菲
一审:张子锦
二审:程丽何
三审:袁庆